病気について
消化管 病気について
食道の病気
食道はのどから胃をつなぐ細長い器官です。
最も多くみられるのが逆流した胃酸により起こる逆流性食道炎です。また高齢者では食道にカビが生える食道カンジダがみられることがあります。
- 飲酒や喫煙と関連する病気として食道癌があり、早期食道癌では内視鏡治療が可能なものがあります。また下部食道が狭窄をきたす食道アカラシアに対しては、内視鏡を用いたバルーン拡張術で狭窄を解除することが可能です。

胃、十二指腸の病気
胃、十二指腸の病気で多いのは潰瘍で上腹部痛や黒色便といった症状を伴います。
原因はストレスやNSAIDS系の鎮痛剤、ヘリコバクター・ピロリ菌が関与することが分っています。
持続性の出血する潰瘍に対して内視鏡を用い止血術が可能です。
- 良性の胃腫瘍では、過形成ポリープや腺腫があり大きなものは癌化するものもあり内視鏡切除も考慮します。
- 悪性の胃腫瘍では胃癌や悪性リンパ腫があります。胃癌は早期癌のうち浅い病変に対し内視鏡治療が可能です。

- 胃の悪性リンパ腫の中でも一部のMALTリンパ腫においてはヘリコバクター・ピロリ菌の除菌療法が有効なものが多くあります。
小腸の病気
小腸は、空腸と回腸からなり、全長が5mほどの細長い臓器で栄養の吸収をしています。
他の消化管に比べ病気の少ない場所です。
- 小腸には遺伝性にポリープの多発する病気があり、ポリープの癌化もあります。
- 腫瘍性疾患では癌、消化管間様系腫瘍(GIST)、悪性リンパ腫などがあり現在では内視鏡による診断が可能です。
- 出血をきたす疾患として小腸の動静脈奇形異常やangioectasiaなど血管性病変が知られています。
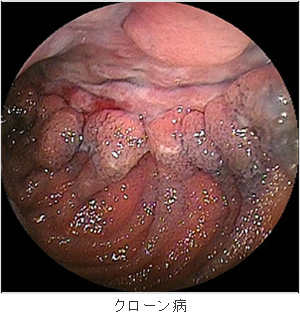
- 炎症性腸疾患では、小腸に縦走潰瘍や狭窄、敷石像などを呈するクローン病、連続する狭窄の多発する非特異性小腸潰瘍症などの専門的な診断と治療をしています。

大腸の病気
大腸は60cmほどの小腸と肛門をつなぐ幅の広い管腔臓器で主に便の水分吸収に関わっています。
最も身近な病気として大腸ポリープがあり多くが内視鏡治療ができます。
- 大腸癌は近年男女ともに増加しており、大腸内視鏡検査の重要性が増しています。
- 大腸癌のうち早期癌の一部は内視鏡治療が可能です。また腹痛や出血の原因となる大腸憩室症、排便時の新鮮血便の原因となる内痔核を多く認めます。

- 炎症性腸疾患であるクローン病や潰瘍性大腸炎が近年増加しています。どちらも腸に潰瘍を形成する病気で、専門的な治療が必要となります。

肝胆膵 病気について
我々は消化器内科として肝臓、胆道、膵臓に関する病気を専門にあつかっております。
肝臓の病気
炎症を中心とした急性・慢性ウイルス性肝炎・肝硬変、アルコール性肝障害、薬物性肝障害、自己免疫性肝炎、NASH(非アルコール性脂肪性肝炎)、劇症肝炎等と腫瘍性疾患としては肝細胞癌があります。
日本では、ウイルス性の肝炎が多く、約80%程度をしめています。肝炎ウイルスには、A型、B型、C型、D型、E型肝炎などがあります。
肝臓癌は、肝臓に発生する悪性腫瘍の一種で、肝硬変を基盤に発生することが多いということが判明しています。また慢性肝炎は数十年の経過のなかで肝硬変へと進行し、やがては肝細胞癌が発生します。
肝細胞癌患者さんの約7割がC型肝炎ウイルス、約2~3割がB型肝炎ウイルスに感染しています。日本には約200万人のウイルス性肝炎患者さんがいると推測されており、年間約2万人強の方に肝細胞癌が発生しているとされています。
肝臓の病気は急性肝炎や肝不全状態でない限り、自覚症状がほとんどないのが特徴です。
肝細胞癌も大きくなって10cmを越える場合や、肝臓全体に「がん」が多発する状態になっても、目立った症状がないということがしばしばあります。つまりは早期に肝細胞がんの発生を知らせてくれるような症状はない、ということになります。そこでウイルス性肝疾患患者さんは後に示すような定期的な検査を受け、もし「がん」が発見されれば早期に治療を受ける必要があります。
胆道の病気
胆道とは胆嚢と胆管を含めた名称です。
炎症性疾患と腫瘍性疾患にわかれ炎症性疾患としては、急性・慢性胆嚢炎、胆管炎があり、腫瘍性としては胆嚢癌、胆管癌(肝内外胆管を含む)があります。
急性胆嚢炎の初期症状は、右上腹部の痛みや吸気時の腹痛(Murphy徴候)、右肩甲骨付近や右側腹部の痛みが続くことや、吐き気や嘔吐、発熱などです。
高齢者では発熱を欠くこともあります。
急性胆嚢炎は約9割が胆石によります。胆石が胆管に蓄積し、閉塞することによって炎症を起こします。
胆嚢癌/胆管癌は胆嚢/胆管内腔の上皮より発生します。両者とも初期では症状に乏しく進行癌として見つかる事が多いです。増大した癌が胆管を閉塞すると黄疸や胆管炎を起こし、この時点で初めて自覚症状が出現します。
膵臓の病気
膵臓は、ちょうど胃の後ろにある長さ20cmほどの薄っぺらな臓器で、右側は十二指腸の内側に接して連続しており、左の端は脾臓につらなります。
膵臓は、蛋白分解酵素をはじめとして、食べ物を消化・分解するいろいろな酵素(外分泌酵素)を産生し、分泌しています。また血糖を下げるインスリンや血糖を上げるグルカゴンなどホルモンも膵臓から血液の中に分泌されます。
膵臓の病気も大きくは、炎症性と腫瘍性に分かれます。
炎症性膵疾患の代表は、急性膵炎はでいろいろな原因で活性化された膵酵素(すいこうそ)によって自分の膵臓が消化されてしまい、膵臓やその他の主要な臓器に炎症と障害が引き起こされる病気です。
短期間で軽快する軽症から、多臓器不全(たぞうきふぜん)で死に至る重症(重症急性膵炎)まで、さまざまなケースがあります。急性膵炎の原因として最も多いのはアルコール(37%)で、次に胆石(たんせき)(24%)と原因不明の特発性(23%)が続きます。
慢性膵炎は、継続的なアルコールの多飲などによって、膵臓に持続性の炎症が起こり、膵臓の細胞が破壊されて、実質の脱落と線維化(膵臓の細胞がこわれ、線維が増えて硬くなる状態)が引き起こされる病気です。
このような変化の多くは元にもどりません。最近、自己免疫異常による膵炎(自己免疫性膵炎)が注目されており、従来は特発性とされていましたが、現在は、特殊型に分類されています。
腫瘍性膵疾患の代表は、膵癌であり特徴的な症状はあまりありませんが、最も多いのは上腹部痛や胃のあたりの不快感、食欲がない、などという一般的な消化器症状です。
この他に、体重の減少なども見られます。
膵癌は背中が痛くなるとよく言われますが、必ずしもそうとは限りません。
